Orthopedic Surgery Orthopedic Diagnosis, Treatment,
and Care for Your Pet
Care You Can Trust From a team you can love.

At Fullerton Pet Clinic, we are proud to offer orthopedic surgery services in collaboration with our experienced mobile surgeon. Our team is here to help diagnose, treat, and guide you through your pet’s orthopedic care. Below are some of the most common procedures we perform. Please schedule a consultation so our doctors can determine whether your pet is a good candidate for surgery. Orthopedic Surgery

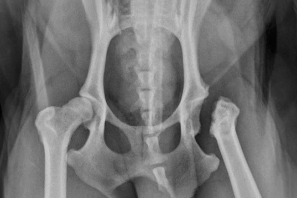
A Femoral Head Ostectomy is a surgical procedure that removes the head and neck of the femur to relieve pain caused by hip conditions such as hip dysplasia, osteoarthritis, or fractures. This procedure creates a “false joint,” eliminating bone-on-bone contact and allowing scar tissue and muscle support to restore mobility. FHO surgery is most effective for small- to medium-sized dogs. Schedule a consultation to find out if this procedure is right for your pet.

Femoral Head Ostectomy

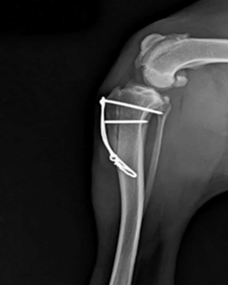
A Tibial Plateau Leveling Osteotomy is performed to treat cranial cruciate ligament (CCL) tears, one of the most common orthopedic injuries in dogs. Rather than repairing the ligament directly, this surgery changes the angle of the tibial plateau (the top of the shinbone) to stabilize the knee and prevent abnormal forward motion. Our doctors will examine your pet and discuss whether TPLO surgery is the most appropriate option. Tibial Plateau Leveling Osteotomy (TPLO)

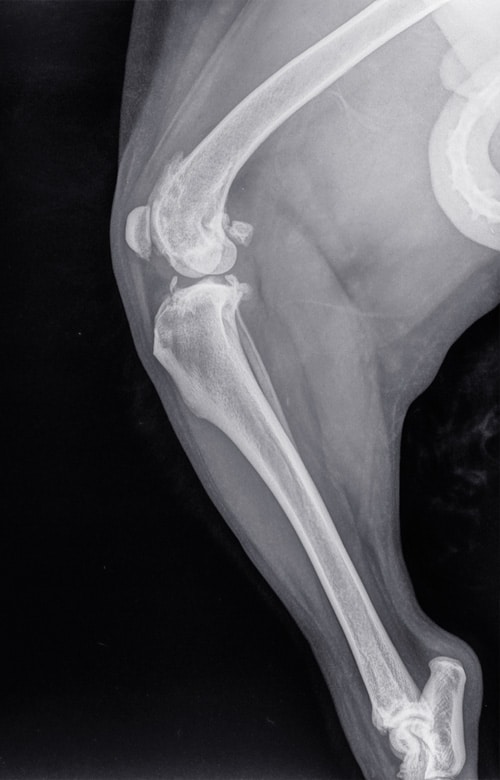
Medial Patellar Luxation Repair Medial Patellar Luxation occurs when the kneecap shifts to the inside of the leg, which is most common in small-breed dogs. It can cause intermittent limping, skipping, or hopping on the affected leg, sometimes accompanied by a clicking sound. Surgical correction realigns the kneecap, improving comfort and mobility. A consultation will help us determine the severity of the condition and the best treatment plan for your pet.